高階儀器全口重建更省心
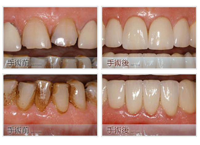
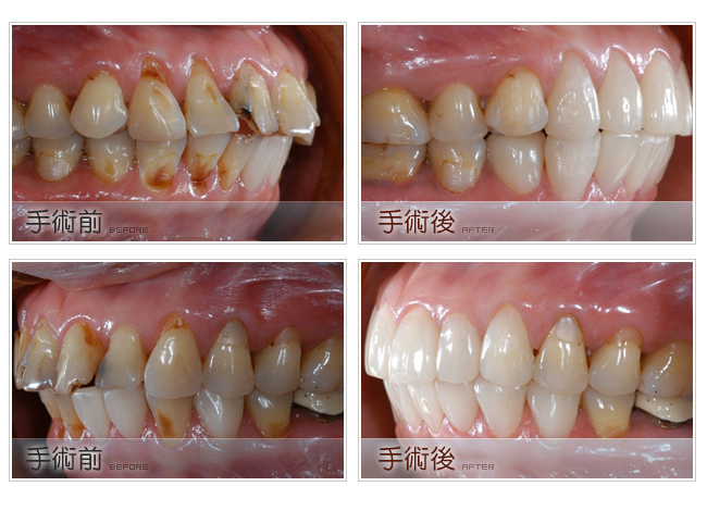
由於嚴重缺牙,牙齒磨耗或牙周病會導致無法正常咀嚼,牙齒移位,或有臉部變形,甚至顎關節疼痛,前牙美觀的問題。有時嚴重的牙齒破壞也和生活飲食,心理壓力(例如:緊張、非常害怕看牙),經濟壓力,不當治療有關。

由於植牙治療的方式非常多樣化,如何確認病人真正的需求,時間與預算的考慮,對美觀的要求,衡量現狀與個人的期待,口內剩餘牙齒與骨頭的健康,是開始治療前最重要的診斷步驟。
客製化的診斷步驟包括每一顆牙齒與牙周的細節,排列,上下齒列的動態力學關係,關節與肌肉的健康狀態,都需藉由X光,模型,相片,醫師對治療效果與方法的思考,並且與病人與親人的討論建立治療計畫。


嚴重的牙周病牙齒,能不能保留,有時須等待第一階段牙周感染控制,甚至第二階段再生手術或矯正移位後才能決定。牙周之外,複雜的跟管系統,內部牙齒蛀牙,牙根分岔處的感染,也需要仔細的清除細菌,完全消毒,完整緻密的封填,並觀察癒合之後才能了解進一步治療的方向。


牙周病專科醫師、根管治療專科醫師、矯正專科醫師、假牙專科醫師,家庭牙醫專科醫師、牙科技師、加上病人自己,組成團隊,協同治療,為病人最佳利益的考量,希望盡最大努力重建整個顳顎關節,齒列、牙周的健康、功能、美觀,這是全口重建協同醫療的意義。新科技包括奈米,雷射,立即受力植牙,電腦齒雕、數位影像等等,新科技使醫學治療更快,更無痛,常令人感到興奮與期待,而精美的廣告更令人心動,但機器與新科技的使用無法取代醫師的智慧、關心、醫術,和對基礎醫學原則的了解和遵守。


珍惜健康須要從最基礎:感染的去除,咬和安定的受力兩個方向做起,提供人體最珍貴的醫療力量,就是時間和復原。需要時間,觀察和等待復原,但提供有效和有效率的治療,是全口重建協同醫療最重要的原則。面對人的治療,全口重建的漫長努力與對治療品質的要求,就是希望醫療的工作成為一種藝術,一種美感,令人快樂,也令人感動。






















