
什麼是根管治療?
根管治療是牙齒因蛀牙、外傷或牙周病導致其內部牙髓組織生病時所從事的治療:包括清除牙髓組織(俗稱抽神經)、擴大根管系統及完成根管充填等步驟。若牙髓組織生病而未即時接受根管治療或原處置不完整則可能導致疼痛腫脹、根尖區病變、骨髓炎、蜂窩組織炎等連續病灶。
許多人都接受過根管治療,其中也會有人因為根管的再度感染,必須拆掉牙套重新治療。甚至會因牙齒齒質已嚴重破壞而無法保留自然牙,必須接受更複雜的牙橋或植牙等替代治療。好比建造一棟美輪美奐的房子,卻因為地基不穩固,必須拆掉房子重整地基一樣。根管治療就好比打地基,讓上面的房子可以安穩地裝潢,沒有安全的後顧之憂。所以如果以保留自然牙為目標,好的根管治療是至為重要的。
根管治療,專指牙齒根管內的牙髓組織,在嚴重發炎、壞死乃至發生細菌感染時所需接受的治療。治療的目標有:
一、解除患者的症狀。
二、清除根管內的發炎或壞死牙髓組織。
三、清除已侵入根管內的細菌。
四、預防口腔細菌再度侵入根管造成新感染。
五、健康保留原本生病的牙齒。
因此根管治療並不等同是俗稱的「抽神經」而是範圍更廣且更徹底的治療。牙醫師實際從事根管治療時,可能遭遇各種困難的狀況,以致難以達成上述目標,其中包括:
一、診斷困難,無法定位出痛源所在。
二、根管遭異物堵塞。
三、根管狹窄鈣化。
四、複雜根管型態,如:根管分岔、帶狀根管。
五、前次治療發生之意外狀況。
六、嚴重細菌感染,須接受根尖手術方有可能保留的牙齒。

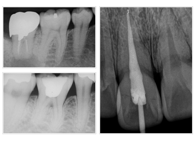
根管治療專科醫師,在接受訓練乃至執業後均以能純熟處理上述困難病例為目標,再加上近年來科技的進步,顯微鏡、超音波器械及鎳鈦合金器械被引進根管治療專科的領域,使得根管治療專科醫師得以藉由顯微鏡的強力照明及最大道25 倍的有效放大,看清楚細微根管的深處角落並加以有效清理感染源,保留更多在過去無法保留的牙齒。因此整合了顯微鏡的專科治療,可以稱為顯微根管專科治療。
顯微根管專科治療,可以確保整個治療過程在標準程序下完成,提升困難病例的成功率,保留原本生病的自然牙。如此幫牙醫師及患者所打下的地基,是不是更扎實穩固呢?


什麼是顯微根管治療?
顯微根管治療已是美國根管治療的主流,顯微鏡可以把根管放大 到25倍,並有強光照明,改善傳統根管治療無法看到根管內部的盲 點,可以克服大多數的難症,增加治療的成功率。本院專科醫師採用德國蔡司顯微鏡及專為顯微根管治療設計的顯微超音波器械,執行高科技的顯微治療。
根管治療後應該作假牙嗎?
根管治療完成後即應考慮牙齒復形或假牙等重建處理以利健康, 並可以延長牙齒的壽命。您應該盡快與您的轉診醫師約診,繼續後續的補綴治療。好的根管治療可以讓蛀掉的牙重新恢復健康,好好保健口腔衛生,可以讓您用一輩子!

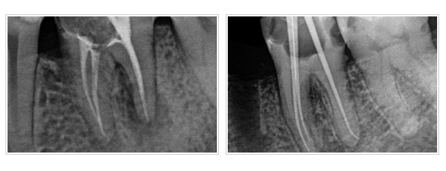
根管治療的步驟
一、蛀牙造成牙神經感染,骨頭遭破壞產生發炎反應。
二、根管治療將受細菌感染的牙神經去除,並將根管清潔擴大。
三、將已經滅菌的根管永久充填,您就可以安心做上假牙。
以上步驟都需戴橡皮障做治療,故好的根管治療可以讓已經遭破壞的骨頭再生,恢復牙根的健康。











