植牙有什麼缺點及後遺症?植牙技術過程分享及風險解說
早年傳統植牙,在拔牙後須等待兩至三個月傷口復原,才可植入人工牙根,之後又必須等待三到六個月才可裝戴上假牙,若遇上齒槽骨不夠的病人還須多等候補骨時間;甚至會拖上一年半載!而且治療一次代表又要痛一次,對許多長期缺牙又害怕植牙的病患來說是不方便又不愉快的經驗。


隨著台灣植牙技術精進,植牙就像時下流行的「午休美容」,省時省事,只需利用上班族僅有的一小時午休即可完成。縮短療程,手術一次精確定位同時完成。先以立體電腦斷層定位系統,準確安全地在拔牙的同時,利用水雷射微創技術將上顎鼻竇推高與補骨,之後同步植牙,術後立即裝置臨時假牙,安全美觀兼具。過程幾乎沒有傷口,不用擔心術後腫痛問題。患者於術後幾乎都能馬上恢復正常作息,這是傳統的植牙手術所不及的。

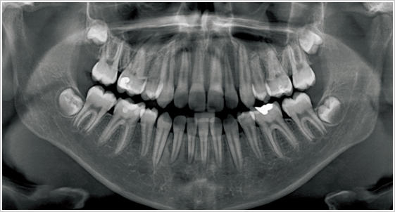
3D電腦斷層精確定位系統 與 2D環繞式全口X光片的差別
2D影像是有立體空間限制的,將立體影像壓縮為平面來呈現,除了變形的因素外只能提高牙床的高度與寬度的判讀,而無法提供牙床厚度的判讀;故醫師時常無法由2D影像判斷舌側夾側(牙床厚度)的距離及角度。
往往從2D判斷 surgical stent(手術定位板)的位置是正確的,但是事實上透過3D立體影像的診斷,發現原本以平面影像預測的種植方向過偏,在手術前及時修正手術定位板的角度及位置,並事先做好正確的治療計畫,才能提高植牙的成功率與準確度,更能增加植牙後牙齒形態的美觀!沒有精準的儀器協助專業醫師進行手術,往往造成醫療診斷上的不精確,甚至疏失!患者相對也會失去信心,甚至失去了治療的黃金時機。
隨著3D科技植牙的發展,植牙的手術已經越來越精準與安全。除此之外,對疼痛的控制與傷口的微創方面更是細心要求;如果可以在缺牙的第一時間得到妥善的醫療診治更可以節省不少時間與金錢。

精準安全的3D科技植牙
拍攝口腔3D斷層,能讓醫生更準確的知道每位患者牙齒的實際狀況,牙科診斷用的X光劑量,會引起罹患疾病的可能性極低,會產生癌症的機率更是微乎其微。在手術前提早做治療規劃及植牙精確定位,不但提高植牙的成功率與準確度,更能增加術後牙齒的美觀與咬合的長久穩定,讓患者享有更好的醫療成果。

拍一般全身性(非牙科)之醫療用的電腦斷層,人體大約會吸收到1200~ 3300 微西弗(µSv )的劑量。一般日常生活中的輻射,包含手機、電器用品等等,人體會吸收的輻射劑量就已經有 8 微西弗。而牙科專用的電腦斷層,其人體僅僅只有吸收25 ~ 60微西弗,是全身性電腦斷層輻射劑量的百分之ㄧ,所以是目前市面上劑量最低且更安全的電腦斷層。
科技產品的誕生其目的就是希望能在人體極限與技術之外,給予醫療更安全與精密的監控與保障,且拍攝亦只需一次,民眾大可不必有所顧忌。消費者在選擇高品質的醫療資源時,建議多方評估;就能避免不願意採用高科技醫療設備之同業的繪聲繪影,與擾亂視聽所造成之不必要的恐慌。








百雷射植牙
雷射科技應用在牙醫領域已經有幾十年的歷史,最早是以二氧化碳在軟組織,如口腔內囊種切除等,傳統雷射植牙所造成的灼熱感常使病患在植牙過程中感到不適,而植牙技術靠著新的百雷射科技解決了傳統雷射給病患帶來的不舒服的感覺。百雷射是以水分子為介質在高速下形同水刀來切除口腔軟、硬組織,例如牙齦、牙齒、骨骼等,並且能夠以360度零死角照射來移除牙齒壞死部份,又不破壞牙齒其他健康組織,因此可大幅降低過程中可能產生的疼痛感。

百雷射植牙過程中不僅不用施打麻藥(或視情況施打微量麻藥)也不會有流血的情況,比起傳統治療方式,百雷射能將手術時間減少一半以上,且術後恢復時間更短,再加上百雷射具有能量、生物刺激性,能夠促使軟組織與硬組織再生,能達到良好的治療效果。
水雷射已在1998年就得到美國FDA及歐盟CE核可,現今也通過衛生署的檢驗核可,是相當安全且受到全球先進國家牙醫師肯定和普遍使用的牙醫儀器。


3D微創植牙

微創植牙藉著精密的儀器,在牙齦做一個非常細小的切口,將人工牙根從此微小切口中植入。和以往的人工植牙手術相比,微創植牙手術時間非常短暫,而且幾乎不需要縫合,因此感染機率也相對較低,疼痛感也降低許多,因為傷口沒有傳統植牙那麼大,讓患者回家後不須忍耐手術脹痛的不舒適感,而且也可以降低對開刀感到恐懼的心理負擔。

隨著精密儀器的問世,以往開大刀的情況已經越來越少見,因此現在大多植牙手術幾乎都能稱之為微創植牙手術,因此現在選擇植牙診所時,醫師的專業程度和診所設備的精密度成為重要的關鍵。


而所謂 3D微創植牙手術,除了有上述微創植牙手術的優點之外,3D 就是指以立體斷層掃瞄儀器來精準判斷齒槽骨的正確深度、角度與厚度,3D斷層掃瞄相較於傳統X光片無法辨識組織資訊的情形,能在電腦中建構植牙區的立體結構,清晰展示齒槽骨深度、厚度及角度,乃至神經、血管及鼻竇所在位置,讓醫師不用切開牙齦,僅靠4至5釐米的小孔,便可精準調整植入位置,讓植體順利與齒槽骨醫密結合,讓植牙效果更理想。


3D齒雕植牙
CEREC 3D 齒雕是目前唯一可臨床使用的全瓷牙高科技設備,能夠一個診次就為病患完成美觀的全瓷修復體,病患可以不需要戴上臨時牙套,不需要多次約診與等待一周,牙醫師就能將專業與科技作搭配,輕鬆完成高品質的全瓷修復治療。CEREC 3D 齒雕擁有當代的電腦運算科技,精密的光學影像擷取技術,準確的研磨製造程序,與時尚精練的外觀工業設計,能夠完美的整合在診所的環境與治療流程中。

CEREC 3D 齒雕全瓷冠屬於一體成型的結構設計,使用的是在全球擁有專利的創新牙科瓷材:IPSe.maxCAD 瓷塊(LithumDIsilicate,二矽酸鋰)製作,能夠提供比一般的技工堆燒瓷材三倍以上的彎曲強度。IPSe.maxCAD瓷塊的製造過程是在工廠中進行全自動的壓鑄與製造,擁有精密穩定的高品質保證,並且瓷塊有多種的比色與透光度的設計,完全符合各種臨床全瓷修復體的製作需求。


紐約大學牙科學院(NYU)的研究人員對於全瓷冠強度有了最新的研究發表,研究人員將兩種不同製作結構的全瓷冠,透過口腔運動模擬器去做咬合壓力模擬的反覆周期測試,結果顯示一體成型的全瓷冠結構,相較於內冠堆瓷的全瓷冠結構而言,更能承受較高的模擬咬合壓力測試,證實為高強度且耐用的全瓷冠材料,因此CEREC 3D 齒雕植牙不只能快速的完成植牙手術,再搭配全瓷牙冠,讓新的牙齒強度更高也更耐用。
複合式全口3D植牙技術
植牙的方式非常多樣化,如何確認病人真正的需求,時間與預算的考慮,對美觀的要求,衡量現狀與個人的期待,口內剩餘牙齒與骨頭的健康,是開始治療前最重要的診斷步驟。客製化的診斷步驟包括每一顆牙齒與牙周的細節,排列,上下齒列的動態力學關係,關節與肌肉的健康狀態,都需藉由斷層掃瞄,模型,相片,醫師對治療效果與方法的思考,並且與病人與親人的討論建立治療計畫。

雄高信合美牙醫診所結合眾多植牙技術,透過「 CT 全口斷層掃瞄」精準判斷齒槽骨的正確深度、角度與厚度,並且配合多款2012年十一月引進的全新德國高階牙科診療儀器,透過各種植牙方式的組合,依據患者的需求、時間和預算來搭配出最適合的植牙手術,因為是為病患量身打造,切合病患實際需求而做的植牙手術,而非像是只能做單一植牙手術的診所,只能採用該院所能做的植牙手術之情形,或者是為了要做適合病患牙齒的植牙方式得不斷在各牙醫診所來回奔波,來尋求最適合該病患的植牙手術,因此雄高信合美牙醫診所全方位的植牙手術,成為頗受病患好評的「複合式全口3D植牙技術」。

植牙後有助解決反覆的牙周病與糖尿病困擾
其實許多人有著牙周病反覆復發與血糖不易控制的困擾,但在臨床診斷下卻發現:當牙周病治療後立即植牙重建,反而能讓血糖控制更容易,牙周病復發的情形也相對降低。所以只要是經由醫師嚴密判定與追蹤後,血糖控制良好的患者,依然是能夠享受高科技植牙帶來的便利與健康,而且也已有許多成功案例;這對害怕糖尿病傷口癒合困難的擔憂而言,無非是一大福音。
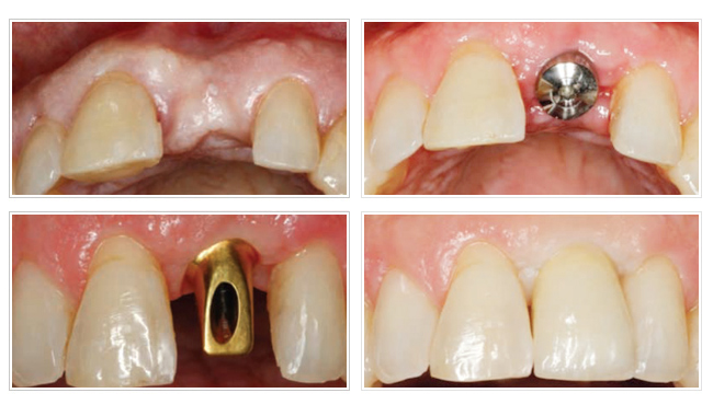
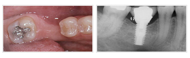
當牙齒有缺損或拔除時,一般會以假牙重建作為治療方式,但有些臨床病例卻難以用此傳統方式重建,例如缺牙太多,只能靠少數牙齒支撐的假牙,容易因咬合力過度承載造成牙床及牙周組織的破壞,或者是因為缺單顆牙,必須犧牲磨掉兩旁的健康牙來做,這種情況人工植牙提供一個較理想的解決方法,手術完成後像自然牙根一樣能承受咬合壓力並且美觀安全,讓您重拾信心。
植牙手術是否安全?
醫療項目上雖然沒能百分百地保證沒有風險及失敗,但人工植牙可算是很安全的一種手術。
如何進行「人工植牙」治療?
人工植牙是屬於高科技與醫學先進的結晶,使用與人體骨質相容性高的醫學用鈦金屬材料製成,因此鈦金屬與牙床骨緊密結合,在正常的情況下須3~8個月(下顎須3~6個月,上顎須6~8個月)才能做第二階段的工作,即裝上固定假牙。
人工植牙完成後如何做維護?
任何義齒完成後,都需有良好的口腔衛生保養,人工植牙與自然牙一樣,需要使用牙刷、牙線及口腔清潔用品來清潔及定期口腔檢查,良好的咀嚼習慣便能延長您的人工牙根的壽命。
人工植牙的好處在那裡?
1、免磨或少磨鄰接牙,減少破壞真牙,便能做固定假牙。
2、預防牙齒脫落後之齒槽骨流失,增進假牙之『真、善、美』。
3、使您有接近真牙一樣的外觀,一樣的咀嚼與吞嚥功能。
4、增加活動假牙粘著力,不至於在吃飯或說話時有活動假牙鬆動之現象。
5、增加您的自信心,解決您掉牙後的困擾。
6、解決您心理上那種戴著『假牙』的不舒適感。
7、免除配戴活動假牙的不方便,也沒有活動假牙金屬鉤環造成的美觀障礙或蛀牙問題。













