什麼是牙齒矯正/齒列矯正?
牙齒矯正就是將牙齒重新排列回復到正確的位置,運用各式各樣不同的工具去做調整使其達到排列正確之功能。通常兒童或大人有以下的情形皆有可能需要做矯正的治療。
咬合不正:
暴牙或戽斗即是上下互對的關係不正確。

牙齒排列過於擁擠或是有先天性缺牙所造成空間過多或過大者;皆需要做牙齒矯正。

如果是上顎或下顎太暴者,則有可能需做外科手術使其能互對及可以有正確之咬合、咀嚼功能。


要做牙齒矯正通常要掌握住最佳的時機;有所謂之學齡前與青少年時期之分,因此如果能正確把握住黃金時期會比成年後做矯正來的容易多,但是有些成年人會選擇做矯正則是想讓牙齒外觀能更好看、整齊、增加人際關係、改變臉型,但由於成年人上、下顎已經停止生長了,所以他們的治療時間相對會比青少年時期較長。

有哪些因素會造成齒列咬合的不正確?
一、遺傳:可能遺傳了父親或母親牙床排列。
二、不良習慣:在嬰幼兒時期習慣吸手指、咬被巾等都會使牙齒偏離或造成前牙暴牙情形產生…。
三、錯誤的治療:牙齒太早拔掉造成空間排列問題。
四、營養不良:營養素的缺乏會使牙齒發育不良有可能會造成先天性缺牙或牙齒的發育有問題,都可能導致咬合不正的問題產生。
五、齒列矯正其目標:即是要得到美麗的外觀及穩定而功能又好的齒列。


矯正的好處
一、整個顏面及牙齒外觀的改變。
二、排列良好的牙齒易保持清潔。
三、能增加自信及改善發音。
四、幫助正常咀嚼及咬合功能。


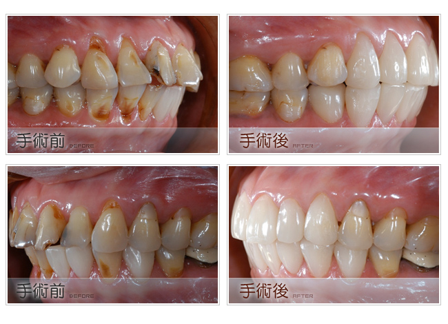
排列不整的牙齒易蛀牙其清潔更是不易、不美觀的齒列對整個顏面及心理發展會有負面影響、不但可能影響同儕間對個體的接受度、甚至影響到求職的機會。
矯正的前置作業
需與病患溝通、協調、確認、才能達到預期效果,矯正治療常需花費相當長的時間才能完成,因此病人及家長之高度配合是必要的故不僅病人口內狀況需瞭解,同時也必須讓家長知道成功的治療是要靠持續的照顧及定期回診才能達成的。
齒列矯正是牽一髮而動全身之方法,如是單純前牙幾顆排列問題,也勢必將全口都要上矯正器使之美顆牙齒回復到正確定點,如此一來才能達到預期效果,矯正器是很容易堆積食物及造成牙菌斑的,若您口腔衛生不注意是很容易形成牙周病及蛀牙的,因此您必須遵照下列原則來保護及照顧您的牙齒。


矯正中如何保護及照顧您的牙齒
當您在做矯正時,建議您可用矯正專用牙刷刷牙,若您還是學生或上班族可準備2支牙刷,一支家裡用另一支可帶於公司或學校,只要您有用餐就建議您可以立即刷牙,這樣才不會等到下課或下班或等到就寢時再潔牙可能您的牙齒已經發生輕微的蛀牙了。
許多人為了愛美,會將缺牙或不整齊的牙齒進行矯正,不但可除去外貌上不美觀之外,更可改善人際關係。傳統的鋼套矯正方式約束了整口牙,讓人望之怯步。


一般成人牙齒矯正,除了傳統的鋼套矯正外,另外還有其他選擇:
一、迷你植釘矯正
運用迷你骨釘、骨板充當支柱矯正牙齒的技術,不僅手術簡單,還可縮短治療的時間,從外觀上也看不出來,讓想要擁有一口美齒的人,也能有新的選擇。


迷你骨釘以及骨板,經常被運用在神經外科、整形科、骨科上以及矯正牙齒上,一般在矯正治療時需要強而有利的「錨定」做支柱,而後牙的根牙穩固,常被用來做矯正時的錨定。最新的矯正技術,是將迷你骨釘或骨板鎖在骨中來移動牙齒,可依需要放在最有利的位置,矯正完成後再將骨釘拆除即可。
即使後牙缺牙或後牙牙周組織破壞不穩固沒有錨定時,也可以使用。因迷你骨釘直徑很小,拆除後數天傷口即可癒合,加上迷你骨釘及骨板為生物相容性高的鈦合金。進行植入迷你骨丁的手術相當簡單,只要在局部麻醉、翻開牙齦、將迷你骨釘鎖入骨中,在進行縫合,手術時間大約只要10到20分鐘即可完成。
以往鋼套矯正,在移動牙齒往往是雙向移動,如果暴牙情況嚴重的病人,就需要更多的空間把前排的牙往後移動;迷你植釘矯正技術可以讓牙齒單向移動,增加移動空間,固定力也比骨釘還要好。但,狀況較嚴重的患者還是要在裝置傳統鋼套,但可利用骨釘的力量讓治癒效果更好。

二、舌側矯正器
「舌側矯正器」在十多年前就有,只是當時仍未趨成熟,它對口腔黏膜刺激較大,患者比較不能忍受。現在歐美國家和日本對這方面的臨床研究相當不錯,以目前「舌側矯正器」的發展來說,應已趨於成熟階段。
舌側矯正器的好處除了看不見之外,也較不必擔心牙齒表面的脫鈣現象,牙齒表面的脫鈣現象較少發生,蛀牙率就低許多,但平常需要做好口腔清潔,否則食物殘渣卡在矯正器周圍很容易造成牙齦腫現象產生牙齦炎或內側蛀牙。
裝置舌側矯正器較麻煩之處是:(一)醫師操作上比較困難,調整的時間耗時較長,且整體治療過程也會拉長一些;而費用也相對提高許多。(二)發音會受點影響,一般需要兩、三星期的調適;有時咬合會受到干擾,也需要適應一段時間。工作環境不允許戴矯正器,或無法接受一般矯正器的人,保證做完了矯正治療還沒有人會發現,別人只會覺得奇怪,為甚麼你會越變越美麗。

何謂齒顎矯正?
所謂齒顎矯正是指藉由裝置改善顏面骨異常之發育和重新排列不整齊的牙齒進而達到下列之治療目的:
一、恢復咀嚼功能進而幫助消化及營養吸收。
二、口腔衛生容易維護,間接可以預防齲齒及牙周病。
三、恢復臉形的美觀,對自己產生信心,並獲得人格正常發展。
四、發音正確,增加學習的效果。
五、嘴唇的閉合及齒列的完整,避免口腔粘膜乾燥及增進口腔對感染的扺抗力。

什麼情況下需要做齒顎矯正?
從醫學立場來看,當牙齒的排列咬合關係異常,影響生理及心理,產生明顯障礙時(如臉形歪斜,咬合不正、唇顎裂等)必須接受矯正治療:在主觀方面要看個人之審美標準,職業及人際關係的需求才能作適當的決定。
齒顎矯正治療的範圍?
一、不良習慣的改正:
如舐舌頭、吸手指、咬下唇、吸奶嘴等,習慣養成已久會造成上下門齒的位置改變,甚至影響整個齒列、骨骼及外觀。
二、牙齒咬合不正之治療:
如例如門齒上下倒錯咬合。


三、骨骼性的治療:
上下顎骨生長速度不能配合,造成「小下巴」或「戽斗」等。若在生長發育期,利用口外裝置加以限制或刺激,可以使上下顎骨生長發育較為均衡。
四、手術性治療:
過了生長發育期(男性二十歲後,女性十七歲後)之成人,若有嚴重之骨骼異常,通常會伴隨齒列咬合不正之問題,此時就必須靠手術治療配合齒列矯正,才能達到最理想的治療效果。
五、先天性兔唇、顎裂的病患。


隱形牙套
很多人都有咬合不正的問題,需要接受矯正治療,可是許多病患對「傳統大鋼牙矯正器」卻有許多醜陋的負面印象,導致願意接受矯正治療的人不多…,現在透過新式的「隱形牙套」可以解決大家對於矯正就是大鋼牙的刻板印象而較樂意接受矯正治療。
新式的「數位隱形牙套」完全沒有大鋼牙的困擾,它是透明的牙套,套在牙齒上是不容易察覺到,因此可以放心的接受矯正治療免除大鋼牙的封號!
傳統的矯正器容易卡菜渣清潔不易!牙齒蛀掉一般是不刷牙的結果,裝了矯正器若不能刷乾淨當然容易蛀牙,其實只要訓練正確的刷牙方法就可以避免蛀牙或牙周病的產生!新式的「數位隱形牙套」可以直接把矯正套取下刷牙非常方便,把牙齒刷很乾淨之後再戴回去,就不容易發生蛀牙的情形!因為刷牙變方便了,蛀牙率降低,牙齒變色的脫鈣狀況也不會出現。


傳統的矯正器有時會意外脫落情形,矯正線刺到口腔黏膜就會很痛!現在新式的隱形牙套完全沒有矯正器意外脫落的問題它是非常平滑的依附在牙齒上,所以不會刮傷口腔,沒有急診的問題。
矯正器剛帶上去,或是剛換線的時候,牙齒接受到矯正施力會較重,而導致吃東西時牙齒有咬不下去的情形,過幾天就會改善。隱形牙套每次移動的幅度較小牙齒痠軟的情況會減輕許多。

















